fbpx

Mitsis – Ariegeois cross

Mitsis – Ariegeois cross

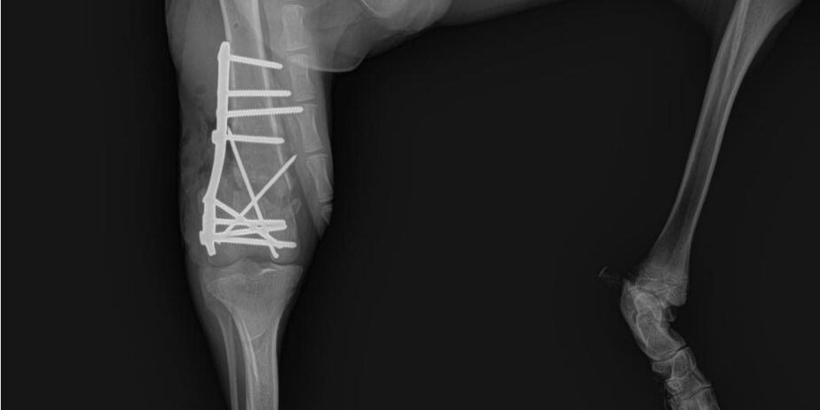
๐Ÿพ ๐Œ๐ˆ๐“๐’๐ˆ๐’ โ€“ ๐จ๐ฎ๐ซ ๐›๐ซ๐š๐ฏ๐ž, ๐ก๐š๐ฉ๐ฉ๐ฒ-๐ ๐จ-๐ฅ๐ฎ๐œ๐ค๐ฒ ๐›๐จ๐ฒ ๐ฅ๐จ๐จ๐ค๐ข๐ง๐  ๐Ÿ๐จ๐ซ ๐ก๐ข๐ฌ ๐Ÿ๐จ๐ซ๐ž๐ฏ๐ž๐ซ ๐Ÿ๐š๐ฆ๐ข๐ฅ๐ฒ ๐Ÿพ This handsome ๐€๐ซ๐ข๐ž๐ ๐ž๐จ๐ข๐ฌ ๐œ๐ซ๐จ๐ฌ๐ฌ, almost 1.5 years old, has come such a long way. ๐Ÿ’ช When Mitsis arrived to us back in June, he was limping badly โ€” X-rays revealed his bone was completely broken and dangling. ๐Ÿ’” But thanks to a skilled orthopedic surgeon (and lots of love!), he underwent a successful operation and began his healing journey. ๐Ÿฉบ (See X-rays) After months of rest and limited movement, Mitsis is now stretching his legs again โ€” literally! ๐Ÿ•๐Ÿ’จ Heโ€™s gaining strength every day, playing with his doggy friends, and showing everyone just how joyful and resilient he is. Mitsis is ๐Ÿ๐š๐ง๐ญ๐š๐ฌ๐ญ๐ข๐œ ๐ฐ๐ข๐ญ๐ก ๐จ๐ญ๐ก๐ž๐ซ ๐๐จ๐ ๐ฌ, loves having playmates, and equally adores ๐œ๐ฎ๐๐๐ฅ๐ž๐ฌ ๐Ÿ๐ซ๐จ๐ฆ ๐ก๐ข๐ฌ ๐ก๐ฎ๐ฆ๐š๐ง๐ฌ. Heโ€™s social, gentle, and full of love โ€” ready to bring happiness to his new home. โค๏ธ ๐ŸŽถMitsis even joined us at an event full of people, music, and excitement โ€” and he handled it like a pro! Nothing phased him; he stayed calm, friendly, and curious the entire time. ๐ŸŒŸ ๐Ÿก He can be adopted Cyprus or UK โธป ๐Ÿพ ฮœฮฏฯ„ฯƒฮทฯ‚ โ€“ ฯ„ฮฟ ฮณฮตฮฝฮฝฮฑฮฏฮฟ, ฯ‡ฮฑฯฮฟฯฮผฮตฮฝฮฟ ฮฑฮณฯŒฯฮน ฮผฮฑฯ‚ ฯ€ฮฟฯ… ฯˆฮฌฯ‡ฮฝฮตฮน ฯ„ฮทฮฝ ฯ€ฮฑฮฝฯ„ฮฟฯ„ฮนฮฝฮฎ ฯ„ฮฟฯ… ฮฟฮนฮบฮฟฮณฮญฮฝฮตฮนฮฑ! ๐Ÿพ ฮ‘ฯ…ฯ„ฯŒ ฯ„ฮฟ ฯ€ฮฑฮฝฮญฮผฮฟฯฯ†ฮฟ ๐€๐ซ๐ข๐ž๐ ๐ž๐จ๐ข๐ฌ ๐œ๐ซ๐จ๐ฌ๐ฌ, ฯƒฯ‡ฮตฮดฯŒฮฝ 1,5 ฮญฯ„ฮฟฯ…ฯ‚, ฮญฯ‡ฮตฮน ฮดฮนฮฑฮฝฯฯƒฮตฮน ฮผฮนฮฑ ฮฑฯ€ฮฏฯƒฯ„ฮตฯ…ฯ„ฮท ฮดฮนฮฑฮดฯฮฟฮผฮฎ. ๐Ÿ’ช ฮŒฯ„ฮฑฮฝ ฮฎฯฮธฮต ฯƒฮต ฮตฮผฮฌฯ‚ ฯƒฯ„ฮนฯ‚ ฮฑฯฯ‡ฮญฯ‚ ฯ„ฮฟฯ… ฮ™ฮฟฯ…ฮฝฮฏฮฟฯ…, ฮบฮฟฯ…ฯ„ฯƒฯŒฯ‚ โ€” ฮฟฮน ฮฑฮบฯ„ฮนฮฝฮฟฮณฯฮฑฯ†ฮฏฮตฯ‚ ฮญฮดฮตฮนฮพฮฑฮฝ ฯŒฯ„ฮน ฯ„ฮฟ ฮบฯŒฮบฮฑฮปฮฟ ฯ„ฮฟฯ… ฮฎฯ„ฮฑฮฝ ฯ„ฮตฮปฮตฮฏฯ‰ฯ‚ ฯƒฯ€ฮฑฯƒฮผฮญฮฝฮฟ ฮบฮฑฮน ฮบฯฮตฮผฯŒฯ„ฮฑฮฝ. ๐Ÿ’” ฮงฮฌฯฮท ฯŒฮผฯ‰ฯ‚ ฯƒฮต ฮญฮฝฮฑฮฝ ฮฟฯฮธฮฟฯ€ฮตฮดฮนฮบฯŒ (ฮบฮฑฮน ฮผฮต ฯ€ฮฟฮปฮปฮฎ ฮฑฮณฮฌฯ€ฮท), ฯ…ฯ€ฮฟฮฒฮปฮฎฮธฮทฮบฮต ฯƒฮต ฮตฯ€ฮนฯ„ฯ…ฯ‡ฮทฮผฮญฮฝฮท ฮตฯ€ฮญฮผฮฒฮฑฯƒฮท ฮบฮฑฮน ฮพฮตฮบฮฏฮฝฮทฯƒฮต ฯ„ฮฟ ฯ„ฮฑฮพฮฏฮดฮน ฯ„ฮทฯ‚ ฮฑฮฝฮฌฯฯฯ‰ฯƒฮฎฯ‚ ฯ„ฮฟฯ…. ๐Ÿฉบโœจ (ฮ”ฮตฮฏฯ„ฮต ฯ„ฮนฯ‚ ฮฑฮบฯ„ฮนฮฝฮฟฮณฯฮฑฯ†ฮฏฮตฯ‚) ฮœฮตฯ„ฮฌ ฮฑฯ€ฯŒ ฮผฮฎฮฝฮตฯ‚ ฯ€ฮตฯฮนฮฟฯฮนฯƒฮผฮฟฯ ฮบฮฑฮน ฮพฮตฮบฮฟฯฯฮฑฯƒฮทฯ‚, ฮฟ ฮœฮนฯ„ฯƒฮฎฯ‚ ฯ„ฯŽฯฮฑ ฮพฮฑฮฝฮฑฮฝฮฟฮฏฮณฮตฮน ฯ„ฮฑ ฯ†ฯ„ฮตฯฮฌ ฯ„ฮฟฯ… โ€” ฮฎ ฮผฮฌฮปฮปฮฟฮฝ ฯ„ฮฑ ฯ€ฯŒฮดฮนฮฑ ฯ„ฮฟฯ…! ๐Ÿ•๐Ÿ’จ ฮ”ฯ…ฮฝฮฑฮผฯŽฮฝฮตฮน ฮบฮฑฮธฮทฮผฮตฯฮนฮฝฮฌ, ฯ€ฮฑฮฏฮถฮตฮน ฮผฮต ฯ„ฮฑ ฯƒฮบฯ…ฮปฮฟฯ†ฮนฮปฮฑฯฮฌฮบฮนฮฑ ฯ„ฮฟฯ… ฮบฮฑฮน ฮดฮตฮฏฯ‡ฮฝฮตฮน ฯƒฮต ฯŒฮปฮฟฯ…ฯ‚ ฯ€ฯŒฯƒฮฟ ฯ‡ฮฑฯฮฟฯฮผฮตฮฝฮฟฯ‚ ฮบฮฑฮน ฮฑฮฝฮธฮตฮบฯ„ฮนฮบฯŒฯ‚ ฮตฮฏฮฝฮฑฮน. ฮŸ ฮœฮนฯ„ฯƒฮฎฯ‚ ฮตฮฏฮฝฮฑฮน ฮบฮฑฮปฯŒฯ‚ ฮผฮต ฮฌฮปฮปฮฑ ฯƒฮบฯ…ฮปฮนฮฌ, ฮปฮฑฯ„ฯฮตฯฮตฮน ฮฝฮฑ ฮญฯ‡ฮตฮน ฯ€ฮฑฯฮญฮฑ ฮณฮนฮฑ ฯ€ฮฑฮนฯ‡ฮฝฮฏฮดฮน, ฮฑฮปฮปฮฌ ฮตฮพฮฏฯƒฮฟฯ… ฮฑฮณฮฑฯ€ฮฌ ฮบฮฑฮน ฯ„ฮฑ ฯ‡ฮฌฮดฮนฮฑ ฮบฮฑฮน ฯ„ฮนฯ‚ ฮฑฮณฮบฮฑฮปฮนฮญฯ‚ ฮฑฯ€ฯŒ ฯ„ฮฟฯ…ฯ‚ ฮฑฮฝฮธฯฯŽฯ€ฮฟฯ…ฯ‚ ฯ„ฮฟฯ…. ฮ•ฮฏฮฝฮฑฮน ฮบฮฟฮนฮฝฯ‰ฮฝฮนฮบฯŒฯ‚, ฮณฮปฯ…ฮบฯŒฯ‚ ฮบฮฑฮน ฮณฮตฮผฮฌฯ„ฮฟฯ‚ ฮฑฮณฮฌฯ€ฮท โ€” ฮญฯ„ฮฟฮนฮผฮฟฯ‚ ฮฝฮฑ ฮณฮตฮผฮฏฯƒฮตฮน ฯ‡ฮฑฯฮฌ ฯ„ฮฟ ฮฝฮญฮฟ ฯ„ฮฟฯ… ฯƒฯ€ฮฏฯ„ฮน. โค๏ธ ๐Ÿก ฮœฯ€ฮฟฯฮตฮฏ ฮฝฮฑ ฯ…ฮนฮฟฮธฮตฯ„ฮทฮธฮตฮฏ ฮšฯฯ€ฯฮฟ ฮฎ ฮ‘ฮณฮณฮปฮฏฮฑ

  • Menu